В трех уездах Румынии прошли обыски по громкому делу. Несколько врачей находятся под следствием за изъятие медицинских устройств из трупов и установку их другим пациентам.
Действия врачей поставили под угрозу жизнь тех, кому установили аппараты, а речь идет не менее чем о 170 пациентах, передает point.md со ссылкой на stirileprotv.ro
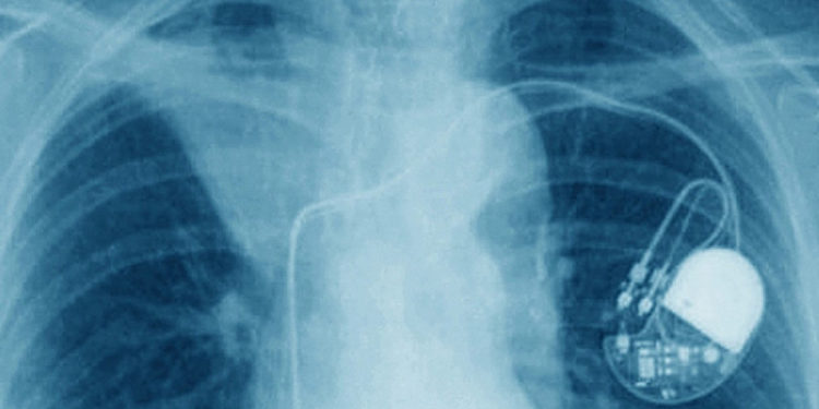
Нескольких врачей из уездной больницы Ясс подозреваются в проведении незаконных хирургических вмешательств. У следователей есть информация, связанная с десятками операций, в ходе которых дефибрилляторы и кардиостимуляторы удалялись у умерших пациентов, а затем устанавливались другим пациентам.
Все устройства были одноразовыми и не должны были использоваться повторно.
Более того, по словам источников, есть страшное подозрение, что некоторым пациентам не давали надлежащих лекарств, именно для того, чтобы в итоге им понадобились эти устройства.
На сегодняшний день выявлено 170 пациентов, пострадавших в результате действий врачей.
Следователи расследуют дачу и получение взяток, подлог, совершенные медицинскими работниками или лицами из их окружения, а также проведение ряда оперативных вмешательств с нарушением показаний к применению аппаратов. Таким образом, они затрагивали или подвергали опасности здоровье или жизнь пациентов.
Основными фигурантами в этом деле являются врачи из Ясс, Брашова и Нямца.





